Mụn lưng là kiểu rắc rối rất dễ làm người ta mất hứng với những chiếc váy hở lưng, áo hai dây hay cả cảm giác muốn mặc gì đó thật thoáng trong ngày nóng. Nhiều người tắm kỹ hơn, đổi sữa tắm liên tục, thậm chí kỳ cọ mạnh tay hơn nhưng tình trạng vẫn lặp lại, rồi để lại thâm dai dẳng. Sau đây, Lush Việt Nam sẽ giúp bạn hiểu đúng mụn lưng do đâu, mình sẽ bớt xử lý quá tay và chọn được hướng chăm sóc an toàn, thực tế hơn.
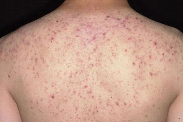
Mụn lưng là tình trạng lỗ chân lông ở vùng lưng bị bít tắc bởi dầu thừa, tế bào chết và vi khuẩn, từ đó hình thành mụn đầu trắng, đầu đen hoặc mụn viêm. Vùng lưng có mật độ tuyến bã nhờn khá cao, lại thường xuyên đổ mồ hôi nhưng khó quan sát và làm sạch kỹ như da mặt.
Đó cũng là lý do nhiều người chăm da mặt rất chỉn chu nhưng phần lưng vẫn âm thầm nổi mụn. Chỉ cần thêm quần áo bó sát, quai balo cọ lưng hoặc mái tóc còn dính dầu xả sau khi tắm, vùng da này đã đủ điều kiện để bí và kích ứng.

Hiểu sai nguyên nhân là lý do phổ biến khiến mụn lưng kéo dài. Càng nghĩ đây chỉ là vấn đề vệ sinh, người ta càng dễ chà xát mạnh hoặc dùng sản phẩm quá nặng hoạt chất. Trong khi đó, mụn lưng thường đến từ nhiều yếu tố chồng lên nhau.
Đây là nguyên nhân gốc. Khi tuyến bã nhờn tiết quá nhiều dầu, dầu thừa sẽ kết hợp với tế bào chết để tạo thành nút chặn trong lỗ chân lông. Môi trường bí này khiến vi khuẩn gây mụn phát triển mạnh hơn và các nốt mụn bắt đầu xuất hiện.
Tình trạng này thường rõ hơn ở người có cơ địa da dầu, tuổi dậy thì hoặc những giai đoạn hormone biến động. Nếu vùng lưng vốn đã dễ bí, chỉ cần thêm một lớp mồ hôi hoặc sản phẩm không phù hợp là mụn bùng lên khá nhanh.

Một buổi tập xong nhưng chưa kịp thay áo, chiếc bra thể thao ôm sát, hay quai túi đè lên cùng một điểm trong nhiều giờ đều có thể làm lưng nổi mụn. Khi da vừa nóng vừa ẩm, ma sát sẽ khiến nang lông bị kích ứng nhiều hơn và bã nhờn càng dễ bị giữ lại bên trong.
Đây là kiểu mụn cơ học khá thường gặp ở người chơi thể thao hoặc phải di chuyển nhiều. Nếu bạn thấy mụn tập trung ở vai, dọc dây áo hoặc vùng giữa lưng, ma sát rất có thể là một phần nguyên nhân.

Mồ hôi không phải lúc nào cũng trực tiếp gây mụn, nhưng để mồ hôi, bụi bẩn và dầu thừa nằm quá lâu trên da thì nguy cơ bít tắc tăng lên rõ. Điều này đặc biệt dễ xảy ra sau khi tập luyện hoặc trong thời tiết nóng ẩm, khi lưng luôn có cảm giác dính và bí.
Nhiều người chỉ thay áo mà không tắm lại, hoặc tắm rất nhanh nhưng bỏ qua phần lưng. Đó là lúc da vẫn còn một lớp màng ẩm, nóng và dễ kích ứng, giống như cảm giác lưng chưa thật sự khô ráo dù đã thay đồ sạch.

Một số loại dầu xả, kem ủ tóc hoặc kem dưỡng thể có kết cấu dày, nhiều dầu hoặc silicone nặng có thể khiến lỗ chân lông vùng lưng bí hơn. Khi xả tóc, sản phẩm chảy xuống lưng rồi lưu lại trên da là chuyện rất thường gặp, nhất là nếu bạn không tắm lại phần thân người sau đó.
Với da dễ nổi mụn, cảm giác ẩm mượt chưa chắc đã là tín hiệu tốt ở vùng lưng. Ưu tiên những công thức sạch dịu, ít gây bí và không để lại màng dày trên da thường là lựa chọn an toàn hơn.

Nội tiết thay đổi trong chu kỳ kinh nguyệt, giai đoạn dậy thì hoặc khi cơ thể căng thẳng kéo dài đều có thể khiến tuyến dầu hoạt động mạnh hơn. Thiếu ngủ cũng góp phần làm da phục hồi kém, dễ viêm và dễ phản ứng mạnh hơn với những kích thích vốn nhỏ.
Nếu mụn lưng bùng lên theo từng đợt, nhất là khi bạn stress nhiều hoặc ngủ ít liên tục, đây có thể là mắt xích cần nhìn lại. Không phải lúc nào nguyên nhân cũng nằm ở chai sữa tắm mới mua.

Chế độ ăn không phải nguyên nhân duy nhất, nhưng ăn quá nhiều đồ ngọt, thực phẩm chế biến sẵn hoặc ngủ nghỉ thất thường có thể khiến phản ứng viêm trong cơ thể dễ tăng hơn ở một số người. Khi cơ thể đang mệt, da cũng thường kém ổn định hơn.
Điều đáng lưu ý là những thói quen nhỏ như uống ít nước, thức khuya liên tục hay mặc lại đồ tập chưa giặt sạch thường cộng dồn tác động. Mụn lưng vì thế hiếm khi đến từ một lý do duy nhất.

Mụn lưng mức nhẹ đến trung bình thường có thể cải thiện bằng cách đổi thói quen chăm sóc và dùng sản phẩm phù hợp. Tuy nhiên, nếu mụn viêm to, đau, lan rộng nhanh, có mủ, để lại thâm sẹo rõ hoặc kéo dài nhiều tháng không đỡ, bạn nên đi khám da liễu.
Điều này đặc biệt cần thiết khi mụn xuất hiện kèm ngứa nhiều, đau rát hoặc tái phát liên tục dù bạn đã chăm da khá đều. Khi đó, việc tự thử nhiều cách cùng lúc thường chỉ làm da thêm quá tải.

Mụn lưng thường cải thiện tốt hơn khi mình quay về một routine gọn, đều và ít kích ứng. Trọng tâm không phải làm thật mạnh, mà là làm sạch đủ, giảm bí và giữ cho hàng rào da ổn định.
Hãy ưu tiên tắm sau khi tập luyện hoặc khi đổ nhiều mồ hôi, thay vì để lưng bí trong quần áo quá lâu. Chọn sữa tắm dịu nhẹ, dễ rửa sạch và tránh loại làm da khô căng sau khi dùng, vì da càng khô rát thì càng dễ phản ứng thất thường.
Nếu cần hỗ trợ làm sạch vùng lưng, có thể dùng khăn hoặc cọ cán dài nhưng thao tác nên nhẹ. Kỳ cọ mạnh không làm mụn hết nhanh hơn, ngược lại còn dễ làm vùng viêm đỏ hơn và để lại thâm lâu hơn.

Các sản phẩm body acne chứa salicylic acid hoặc benzoyl peroxide thường được dùng để hỗ trợ giảm bít tắc và kiểm soát mụn ở vùng lưng. Nếu da nhạy cảm, nên bắt đầu từ tần suất thấp để theo dõi phản ứng thay vì dùng dồn dập ngay từ đầu.
Benzoyl peroxide có thể làm khô da và làm bạc màu vải, nên cần dùng cẩn thận. Nếu mụn viêm nhiều hoặc da kích ứng kéo dài, tốt hơn hết là trao đổi với bác sĩ da liễu trước khi tăng thêm hoạt chất.

Đây là phần thường bị xem nhẹ nhưng lại tác động khá rõ. Quần áo rộng, chất liệu thoáng khí, khăn tắm sạch và ga giường được thay đều sẽ giúp giảm ma sát, giảm tích tụ dầu thừa và giảm nguy cơ vi khuẩn lưu lại trên da.
Nếu bạn hay tập luyện, hãy thay đồ ngay sau khi vận động và tránh ngồi quá lâu trong áo ẩm mồ hôi. Chỉ riêng thay đổi này thôi cũng đã giúp nhiều người thấy lưng đỡ nổi mụn hơn sau vài tuần.

Mụn ở lưng khó nhìn, khó lấy nhân đúng cách và rất dễ bị nặn sai. Việc tự nặn hoặc liên tục chạm tay vào vùng mụn có thể đẩy vi khuẩn vào sâu hơn, làm nốt viêm nặng hơn và tăng nguy cơ thâm sẹo.
Tương tự, các sản phẩm tẩy da chết hạt to hoặc bàn chà quá cứng cũng không phải lựa chọn lý tưởng cho lưng đang nổi mụn. Với vùng da này, dịu nhẹ và đều đặn gần như luôn hiệu quả hơn mạnh tay nhưng thất thường.
Để phòng ngừa mụn lưng quay lại, hãy giữ thói quen tắm sau khi đổ mồ hôi, buộc tóc gọn khi tóc còn dính dầu xả, chọn đồ mặc thoáng và giặt sạch khăn tắm, ga gối thường xuyên. Nếu da dễ bí, nên ưu tiên body care có kết cấu nhẹ, ít để lại màng dày trên lưng.
Một routine tối giản nhưng ổn định thường bền hơn việc đổi sản phẩm liên tục. Khi lưng đã bớt mụn, điều quan trọng là giữ nhịp chăm sóc đều thay vì dừng hẳn rồi đợi đến lúc bùng lại mới xử lý.

Có thể, nếu tình trạng nhẹ và nguyên nhân chủ yếu đến từ mồ hôi, ma sát hoặc sản phẩm không hợp. Nhưng nếu mụn viêm nhiều hoặc kéo dài, bạn thường vẫn cần điều chỉnh routine hoặc đi khám để kiểm soát tốt hơn.
Không có bằng chứng y khoa rõ ràng cho cách giải thích này. Mụn lưng thường liên quan hơn đến bít tắc lỗ chân lông, dầu thừa, vi khuẩn, ma sát và những thay đổi nội tiết hoặc sinh hoạt.
Nên tránh kỳ cọ mạnh, tự nặn mụn, dùng body care quá đặc hoặc để dầu xả bám lại trên lưng. Ngoài ra, đừng đổi quá nhiều sản phẩm cùng lúc vì rất khó biết da đang kích ứng bởi điều gì.
Có, nhưng thường cần thời gian. Nếu chăm sóc đúng và hạn chế làm vùng da viêm thêm, vết thâm có thể mờ dần; còn khi thâm sẹo kéo dài, nên gặp bác sĩ da liễu để được hướng dẫn phù hợp hơn.
Mụn lưng không chỉ đến từ chuyện làm sạch chưa kỹ, mà thường là kết quả của bít tắc, mồ hôi, ma sát, sản phẩm không phù hợp và nhịp sinh hoạt thiếu ổn định. Khi hiểu rõ mụn lưng do đâu, bạn sẽ dễ chọn đúng việc cần làm hơn là thử mọi cách cùng lúc.
Bắt đầu từ những thay đổi nhỏ nhưng đều: tắm sau khi vận động, giảm ma sát, chọn sản phẩm dịu nhẹ và theo dõi phản ứng của da. Với vùng lưng, sự nhất quán thường đáng tin hơn mọi giải pháp quá mạnh tay.
Xem thêm: